Дата публикации: 28.09.2020
Неприятный запах изо рта мешает общению и может вызывать психологические комплексы. Важно выяснить источник проблемы, так как галитоз часто указывает на серьезные нарушения в организме.
Наиболее распространенной причиной является недостаточная гигиена ротовой полости. Нечищенные зубы и застрявшая пища создают благоприятные условия для размножения бактерий.
Также запах может возникать из-за протезов и заболеваний ротовой полости, таких как:
- пародонтоз;
- кариес;
- пульпит;
- зубной камень.
ЛОР-заболевания, такие как ларингит, синусит и тонзиллит, также могут быть причиной несвежего дыхания. Сухость во рту, вызванная возрастными изменениями или приемом некоторых лекарств, ухудшает ситуацию, так как слюна помогает очищать ротовую полость от бактерий.
Нарушения в пищеварительной системе, такие как гастрит или дисбактериоз, также могут приводить к неприятному запаху.
Чтобы вернуть свежесть дыхания, важно соблюдать здоровый рацион и регулярно заботиться о здоровье. Но что делать, если важная встреча уже на носу? Существуют быстрые способы устранения запаха.
Вот несколько эффективных экспресс-методов:
- Жевание лимона или лайма. Этот способ временно освежит дыхание. Жуйте кусочек вместе с кожурой или используйте цедру цитрусовых.
- Кофе. Кофеин помогает нейтрализовать запах. Если нет возможности выпить кофе, можно погрызть 3-4 кофейных зерна. Гипертоникам лучше использовать укроп или петрушку.
- Гвоздика. Пожуйте веточку гвоздики на несколько секунд для освежения дыхания.
- Можжевельник. Ягоды можжевельника помогут скрыть перегар.
- Кислые яблоки. Они очищают ротовую полость и улучшают пищеварение.
- Кедровые орехи или семечки. Жуйте их для свежести дыхания на 1-2 часа.
- Прополис. Половина чайной ложки в день поможет устранить запах и ускорить регенерацию слизистой.
- Солевой раствор. Полоскание рта соленой водой убивает бактерии и устраняет запах.
- Растительное масло. Полоскание утром помогает избавиться от несвежего дыхания.
Также можно использовать полынь горькую и магнолию для жевания, которые обладают антисептическими свойствами.
Аптечные средства, такие как Атоксил и Полисорб, помогают при алкогольном запахе, а раствор хлорофилла обладает дезодорирующим эффектом и уничтожает микробы. Перекись водорода 3% также эффективна для полоскания.
Среди популярных средств — леденцы Инфреш с экстрактом мяты и хлорофиллом, а также настои трав, таких как мята, ромашка и кора дуба. Полоскание рта настоем после еды поможет поддерживать свежесть.
Не забывайте о гигиене: чистите зубы дважды в день, используйте зубную нить и выбирайте мягкие щетки, чтобы не повредить десны.
Здоровья вам!
Почему кошки кусаются?
Кошки могут проявлять агрессию, когда напуганы или чувствуют угрозу. Однако многие из них также кусаются и царапаются, когда их гладит хозяин. Это явление называется агрессией, вызванной ласками, и обсуждается бихевиористами на протяжении десятилетий. Существует три теории, объясняющие такое поведение. Во-первых, кошки сигнализируют владельцу, что им больше некомфортно. Во-вторых, они пытаются установить свой статус. В-третьих, длительное поглаживание может вызывать у них негативные эмоции. Владельцам важно лучше понимать своих кошек, чтобы распознавать явные признаки агрессии, вызванной ласками.
Опасны ли кошачьи укусы для человека?
Кошачьи укусы и царапины нельзя игнорировать. Они могут вызвать серьезные инфекции, например, инфекцию, вызванную бактериями Pasteurella multocida, которые проникают в организм через поврежденную кожу. Это может привести к воспалению и нагноению подкожной клетчатки. У кошек также могут находиться опасные организмы, такие как fusobacterium и виды стрептококков, способные вызывать инфекции, включая тонзиллит и скарлатину. Кроме того, бактерия Bartonella henselae может вызвать лихорадку от кошачьих царапин.
«Болезнь кошачьих царапин» действительно существует!
Укусы кошек более подвержены заражению, чем укусы собак
Хотя укусы кошек встречаются реже, чем укусы собак, царапины от них довольно распространены. Ранки, нанесенные кошками, в пять раз чаще приводят к заражению, воспалению и нагноению, чем укусы собак. Это связано с двумя факторами.
- Во-первых, кошачьи зубы тонкие и острые, что позволяет им глубже проникать в ткани, сухожилия и суставы человека. В отличие от них, собачьи зубы обычно более тупые и широкие, что снижает риск глубокого повреждения. При укусах кошек инфекция легче проникает в рану.
- Во-вторых, кошки дышат через нос, поэтому их рты чаще закрыты. Это приводит к накоплению большего количества бактерий в ротовой полости, что делает их укусы более опасными для человека.
У кошек во рту более 200 штаммов бактерий
В кошачьей пасти обитает более 200 штаммов бактерий. Это означает, что существует множество инфекций, которыми можно заразиться при укусе кошки. Наиболее распространённой бактерией, вызывающей инфекции при укусах, является Pasteurella multocida.
Укусы кошек могут привести к серьезным инфекциям
Исследование [1] показало, что каждый третий пациент, обратившийся за медицинской помощью из-за укуса кошки, нуждается в госпитализации. У 66 % госпитализированных пациентов требуется хирургическое вмешательство. Укусы кошек чаще всего происходят на пальцах, кистях и запястьях, где расположены нежные сухожилия, связки и ткани. Инфекции в этих небольших, сложных областях могут привести к серьезным осложнениям, если их не лечить своевременно и агрессивно.
Чем раньше вы обратитесь за медицинской помощью, тем лучше
Укусы кошек могут быстро загноиться, и инфекции могут распространяться по организму. Поэтому важно немедленно обработать рану антисептиком при легкой травме или обратиться за медицинской помощью.
Что делать, если вас укусила кошка?
Будьте спокойны и определите, можете ли вы помочь себе самостоятельно. При неглубоких укусах домашнего питомца, который прошел иммунизацию и находится в хорошем состоянии:
- Промойте рану водой с мылом под давлением из-под крана не менее 5 минут. Не трите кожу, чтобы не повредить ткань. Нанесите антисептический лосьон или крем.
- Следите за признаками инфекции: жар, сильное покраснение, боль, отек, утечка жидкости или красные полосы от укуса. Немедленно обратитесь к врачу, если они появятся.
При более глубоких укусах или колотых ранах любого животного, а также при укусе неизвестного животного:
- Если укус или царапина кровоточат, надавите на них чистой повязкой или полотенцем, чтобы остановить кровотечение. Промойте рану водой с мылом под давлением из-под крана не менее 5 минут. Не трите кожу.
- Просушите рану и накройте стерильной повязкой. Не используйте ленту или пластыри-бабочки, так как это может задержать бактерии в ране.
- Позвоните врачу, чтобы решить, нужно ли дополнительное лечение. Это может включать антибиотики, ревакцинацию против столбняка, вакцину от бешенства или наложение швов. Особенно важно это при укусах лица или глубоких ранах кожи. Сообщайте врачу обо всех укусах кошек, особенно в области рук и запястий, так как эти травмы часто приводят к инфекциям.
- Обратитесь к врачу, если после укуса у вас появятся симптомы недомогания, такие как жар, головная боль, плохое самочувствие, потеря аппетита или увеличение лимфатических узлов.
Как предотвратить укусы кошек и лихорадку от кошачьих царапин?
- Никогда не предлагайте свою руку в качестве игрушки для кошки. Вместо этого предоставляйте ей разнообразные игрушки для игры.
- Не оставляйте кошек наедине с маленькими детьми и избегайте гладить или кормить незнакомых кошек.
- Если ваша кошка проявляет агрессию при ласках, выясните возможные триггеры. Регулярно обрабатывайте её от блох и клещей, чтобы предотвратить развитие бартонеллеза.
Врач-ортодонт Николаева Надежда Николаевна
Височно-нижнечелюстной сустав (ВНЧС) — парный сустав, образованный головкой нижней челюсти, нижнечелюстной ямкой и суставным бугорком височной кости. Головки нижней челюсти сходятся под тупым углом у переднего края большого затылочного отверстия. ВНЧС обеспечивает движение нижней челюсти и участвует в жевании, глотании, разговоре и зевании. Жевательные мышцы обеспечивают точное движение сустава при отсутствии дисфункции.
По данным ВОЗ, около 40% людей в возрасте от 20 до 50 лет страдают дисфункцией ВНЧС. Однако многие не обращаются к врачу-гнатологу или остеопату, предпочитая лечить головные боли, утомление и другие симптомы у других специалистов. Дисфункция проявляется неврологическими симптомами: головной болью, головокружением, щелчками и хрустом сустава, напряжением и спазмами мышц шеи и головы. Также могут возникать отологические симптомы: шум, звон, заложенность ушей, снижение слуха. Существуют и скрытые последствия дисфункции ВНЧС:
- Шейный лордоз — нарушение осанки, при котором шея чрезмерно выпрямляется или голова выступает относительно тела.
- Искривление в крестцово-подвздошном сочленении, что может привести к изменению длины конечностей.
Дисфункция ВНЧС влияет на весь опорно-двигательный аппарат и длину конечностей.
ВНЧС является частью СТОМАТОГНОСТИЧЕСКОЙ системы, которая включает в себя структуры и функции головы и шеи: кости черепа, нижнюю челюсть, подъязычную кость, ключицу, грудную клетку, мышцы, связки, суставы, сосудистую, лимфатическую и нервную системы, а также мягкие ткани головы и зубы. Эта система связана с крестцом и копчиком через твёрдую мозговую оболочку. Все её части взаимосвязаны и зависят от нормального функционирования.
Основные функции стоматогностической системы:
- Обеспечение жевания, глотания, кусания, речи и дыхания.
- Участие в поддержании статики: механизм походки, баланс шейного отдела, позвонков и таза.
- Влияние на краниальную функцию, особенно височной кости.
- Влияние на функции нервной, эндокринной и лимфатической систем.
Эти функции осуществляются движением нижней челюсти, которое обеспечивается перемещением головки нижней челюсти в суставной ямке ВНЧС с помощью различных мышц. Линия смыкания зубов (окклюзионная плоскость) должна быть параллельна плоскостям опорно-двигательного аппарата. Параллельность линий свидетельствует о здоровье как опорно-двигательного аппарата, так и зубочелюстной системы. Изменения в одной плоскости могут вызвать изменения в других.
Нарушения окклюзии могут возникать из-за стираемости зубов, врождённых патологий прикуса, неадекватного стоматологического лечения или протезирования, неправильного использования брекет-системы и удаления здоровых зубов. Эти нарушения могут приводить к проблемам в шейном отделе позвоночника и спазмам мышц шеи. Длительный спазм приводит к структурным изменениям в мышцах, что нарушает их способность сокращаться и расслабляться. Спазм одной группы мышц может вызвать спазм в другой области, например, височная мышца и жевательные мышцы работают синергично.
Дисбаланс в ВНЧС негативно влияет на нервную систему постоянно. Аномалии прикуса изменяют направление действия силы в черепе. Например, преждевременный контакт на боковых зубах вызывает несогласованные движения мышц и искажение передачи нервного импульса в мозг. Это может привести к напряжению фасций шеи и раздражению симпатических узлов, что вызывает спазм сосудов головы и, как следствие, головокружение и тревожные состояния. Дисфункция ВНЧС также может вызывать торсию височной кости, что влияет на вестибулярный аппарат и может приводить к нарушению равновесия.
Заложенность носа может быть связана с дисфункцией ВНЧС из-за нарушения лимфооттока и венозного оттока от головы, что может проявляться отёком в области носовых ходов.
Причины заболеваний височно-нижнечелюстного сустава:
- Неправильный прикус, приводящий к деформации окклюзионной поверхности зубов и функциональной перегрузке ВНЧС.
- Стресс и перенапряжение.
- Травмы челюсти.
- Эндокринные и обменные нарушения, инфекционные заболевания.
- Чрезмерные физические нагрузки.
- Вредные привычки.
Симптомы заболеваний ВНЧС:
- Головная боль, спазмы в лицевых мышцах и области челюсти.
- Щелчки, хруст, скрежет при движении челюсти.
- Боль, заложенность и звон в ушах.
- Увеличение подчелюстных лимфатических узлов.
- Головокружение.
Влияние заболеваний ВНЧС на здоровье человека недостаточно изучено, в отличие от методов диагностики и лечения. В большинстве случаев достаточно корректирующей каппы, чтобы избежать множества проблем со здоровьем.
Чистка зубов кошке — важная гигиеническая процедура, которая помогает предотвратить кариес, воспаление десен и неприятный запах изо рта. Далее мы обсудим средства для чистки зубов у кошек и правильную технику проведения процедуры.
Нужно ли чистить зубы кошкам
Можно ли чистить зубы кошке? Нужно! Более половины котов старше 3 лет страдают от пародонтоза — воспаления тканей, к которым крепятся зубы. Он начинается как гингивит (воспаление десен) из-за налета, где размножаются бактерии. Если налет не удалить, образуется зубной камень, который раздражает десны и способствует воспалению. Запущенная болезнь может привести к потере зубов.
Если не чистить зубы кошке, могут возникнуть и другие проблемы:
- кариес;
- кровоточивость десен;
- неприятный запах изо рта;
- плохой аппетит;
- подавленное настроение;
- болезни пищеварительной системы из-за гнилостных бактерий из ротовой полости.
Можно возразить, что дикие коты имеют хорошие зубы и не нуждаются в чистке. Однако у них другая ситуация: они охотятся и грызут твердую пищу, что помогает очищать эмаль от отложений. Жесткие куски мяса реже застревают в зубах, в отличие от мягкой пищи, которую едят домашние коты.
Чем чистить зубы кошке в домашних условиях
Для чистки ротовой полости кота используют зубные щетки для животных. В продаже доступны:
- щетки с загнутыми ручками для удобства обработки пасти;
- щетки, удобно лежащие в руке;
- напальчники — щетки, надевающиеся на палец.
Если специализированной щетки нет, подойдет детская мягкая зубная щетка. Убедитесь, что щетина опускается чуть ниже линии десен. В крайнем случае можно использовать марлю, обвернув ее вокруг пальца, или ватный тампон.
Каким средством чистить зубы кошке?
В ветеринарных магазинах и зоомагазинах продается зубная паста для чистки зубов у кошек. Она содержит безопасные для животных компоненты и приятный для них аромат.
Можно ли использовать зубную пасту для людей?
Человеческие пасты нельзя использовать для животных. Они содержат вещества, которые нельзя глотать, и если человек может удержаться от этого, кошка – нет. Проглатывание пасты может вызвать расстройства пищеварения.
Можно ли использовать для чистки пищевую соду?
Нет. Пищевая сода содержит много щелочи, которая может нарушить кислотный баланс в желудке при проглатывании. Кроме того, вкус средства может не понравиться питомцу, и он может начать рвать во время процедуры.
Как правильно чистить зубы кошке
Манипуляцию следует проводить по следующей схеме:
- Нанесите на щетку зубной гель для чистки зубов у кошек.
- Удерживайте голову питомца под углом 45 градусов и осторожно приподнимите губы. Рот открывать не нужно.
- Сначала сосредоточьтесь на очистке крупных задних зубов и клыков, где налет образуется чаще всего.
- Действуйте медленно и осторожно, чтобы не повредить десны.
- Не беспокойтесь, если питомец не открывает рот и не позволяет почистить кончики зубов и внутреннюю часть. Большинство повреждений затрагивает внешнюю часть коронок и пародонта. Язык кошки эффективно удаляет налет с внутренней стороны коронок, снижая необходимость в их очистке.
- Постепенно очистите все коронки.
- Среднее время чистки — 30-60 секунд с каждой стороны.
Не спешите во время процедуры. Чистите зубы медленно и осторожно, чтобы не напугать животное. Обязательно хвалите его.
Как чистить зубы кошке напальчником
Если щетки нет, рот кошки можно почистить напальчником. Сначала приучите кота к нахождению вашего пальца в его рту. Для этого сделайте легкий массаж десен, смазав палец вкусной для кота едой, чтобы он мог его обнюхать и облизать.
Как часто чистить зубы кошке
Коронки следует чистить ежедневно. Если это невозможно, проводите гигиеническую процедуру раз в неделю. В остальные дни давайте кошкам лакомства и косточки для чистки зубов.
Как приучить котенка к чистке зубов
Легче всего приучить к чистке маленького котенка. У взрослых котов этот процесс может занять больше времени. Сначала это может быть непросто, но со временем питомец привыкнет и не будет обращать на процедуру внимания.
Чтобы приучить котенка к чистке, следуйте этим шагам:
- Найдите тихое место, где сможете разместить котенка. Лучше всего начинать обучение, когда питомец сидит у вас на коленях, но можно также положить его на стол, предварительно постелив полотенце. Убедитесь, что дверь закрыта, чтобы избежать побега.
- Окуните ватную палочку в жидкость с тунцом. Кошкам нравится ее вкус, что создаст положительную ассоциацию с чисткой зубов.
- Поднимите губы котенка, зубы не обязательно размыкать.
- Протрите ватной палочкой губы и края десен.
- В первые несколько раз лучше обработать только пару коронок, а не все зубы, особенно если котенок нервничает.
- Когда питомец привыкнет к процедуре, можно начать использовать щетку.
Профессиональная чистка зубов у котов
Ветеринары советуют ежегодно приводить питомца в клинику для оценки состояния ротовой полости. Если врач выявит воспаление или другие проблемы с деснами, он назначит лечение, чтобы предотвратить развитие болезни.
Камни: что делать?
Своевременный осмотр у ветеринара поможет обнаружить и удалить зубные камни. Если камень уже образовался, необходимо обратиться к стоматологу. Домашние средства для удаления камней неэффективны и могут лишь предотвратить их появление. Удаление твердых образований должен выполнять специалист.
Чистка зубных камней у кошек может проводиться как с наркозом, так и без него. Без наркоза возможно только в том случае, если питомец спокойно открывает пасть.
Чаще всего используется ультразвуковая чистка зубов. Эта процедура стоит дорого, но не повреждает эмаль. Ультразвуковую чистку обычно проводят под анестезией, так как кот может испугаться звука прибора и разбрызгивания воды.
Перед наркозом ветеринар должен тщательно осмотреть питомца и провести анализы, чтобы оценить его состояние. Это особенно важно для котят и пожилых животных, так как неправильно подобранная доза может быть опасной.
Кариес: что делать?
Кариес необходимо лечить. Даже если он не вызывает проблем у питомца, со временем гниение затронет корни, что приведет к осложнениям. Лечение кариеса включает два варианта: удаление коронки и пломбирование. Первый вариант распространен, второй возможен только в специализированных клиниках и стоит дорого.
Как поддерживать гигиену ротовой полости, кроме чистки?
В продаже есть специальные сухие корма для чистки зубов у кошек. Они содержат вещества, предотвращающие образование зубного камня, и имеют структуру, обеспечивающую механическую чистку коронок.
Также можно приобрести лакомства для чистки зубов, которые питомцы с удовольствием грызут. Подушечки для чистки зубов имеют твердую поверхность, очищающую клыки. Их активные компоненты разрушают налет и убивают бактерии.
Для ухода за зубами доступны жидкости для полости рта. Они очищают и устраняют неприятный запах, их достаточно добавлять в питье. Производители утверждают, что эти препараты безопасны и не влияют на работу пищеварительного тракта. Однако мнения пользователей различаются: некоторым средства помогли, у других эффекта не было, а у некоторых возникли рвота и понос.
Советы по чистке ротовой полости у кошки
- Во рту кота много бактерий, поэтому во время процедуры надевайте перчатки. Если вам неудобно в них работать, промойте руки с мылом после завершения.
- После процедуры тщательно мойте зубную щетку.
- Меняйте зубную щетку для кошек каждые три месяца.
- Если у вас несколько питомцев, купите для каждого отдельное средство гигиены.
- Обеспечьте коту качественный корм, который положительно влияет на состояние зубов и делает их более устойчивыми к гниению.
- Перед чисткой дайте питомцу понюхать пасту. Если запах ему понравится, он будет более сговорчивым.
- Во время процедуры обязательно хвалите кота.
- Если не можете регулярно убирать налет, купите лакомства — подушечки или палочки для чистки зубов, ознакомившись с каталогом зоотоваров.
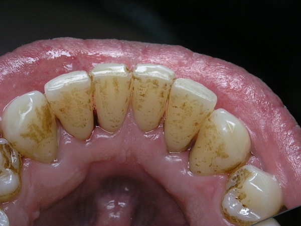
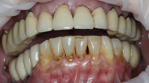
Зубной камень — проблема современного человека, который часто употребляет простые углеводы и черный кофе. Если к этому добавить вредные привычки, такие как курение, налет обеспечен.
Однако зубной камень не ограничивается образованием желтого налета на эмали. На запущенной стадии он может повредить десны и вызвать воспалительный процесс.
Что такое зубной камень
Микробы оседают на эмали во время потребления пищи и размножаются в теплой и влажной среде возле десен. Если их не удалить в течение следующих пятнадцати часов, начинается процесс минерализации.
Через семь дней минерализация становится необратимой, а через полгода «погибшие» микроорганизмы превращаются в камень, цвет которого варьируется от желтого до темно-коричневого.
Зубной камень состоит до 30% из органических соединений, а количество неорганических компонентов увеличивается с 70% до 90%.
Дополнительная информация. Состав зубного камня изменяется в зависимости от периода минерализации. Количество органических веществ уменьшается с каждым днем затвердевания.
Помните, что уже через пару дней отсутствия тщательной гигиены образуется шершавый налет, который привлекает еще больше микробов.
Кроме того, воспаление десен способствует образованию зубодесневой жидкости, содержащей соли и белки, необходимые для роста колонии микроорганизмов и дальнейшей минерализации.
Причины возникновения
Причины образования зубного камня, от которого невозможно избавиться в домашних условиях, включают:
-
Недостаточная и некачественная гигиена полости рта. Это приводит к накоплению микробов, которые начинают размножаться и образовывать твердые отложения.
Обратите внимание! Сюда же относится неправильно подобранная зубная паста и щетка, быстрая чистка зубов, а также отсутствие зубной нити, ершиков, ополаскивателей или ирригаторов.
-
Обильное употребление мягкой пищи и быстрых углеводов (например, мучных и кондитерских изделий) способствует повышенному слюноотделению, создавая благоприятные условия для размножения бактерий.
-
Вредные привычки, такие как курение и употребление алкогольных напитков (особенно красного вина), а также неправильное питание.
-
Нарушение обмена веществ, которое изменяет состав слюны и увеличивает количество свободных ионов солей.
Комбинация одной или нескольких из этих причин влияет на эффективность удаления зубного камня.
Зубной налет образуется на всех зубах, но особенно на нижних зубах с внутренней стороны из-за близости к большим слюнным железам.
Симптомы заболевания
Если человек пренебрегает гигиеной зубов, он вряд ли внимательно осматривает свою полость рта, чтобы оценить ситуацию.
Определить наличие проблемы можно не только визуально, но и по косвенным признакам:
- Кровоточивость десен — часто безболезненная, возникает только при чистке зубов. После воздействия щетки на чувствительные десны могут возникать неприятные ощущения.
- Неприятный запах изо рта — если нет проблем с желудком, но запах присутствует, это может указывать на накопление зубного камня. Активная жизнедеятельность микроорганизмов приводит к выделению соединений серы.
- Отечность и болезненность десен — накопление налета влияет на мягкие ткани, вызывая воспалительные процессы.
Важно! Снятие зубного камня необходимо проводить до начала рецессии десны — уменьшения мягких тканей, что приводит к оголению корня зуба и повышению чувствительности.
Виды зубного камня
По расположению выделяют два вида налета:
- Наддесневой — видимый налет, располагается над десной. Чаще всего его обнаруживают на внутренней стороне передних нижних зубов и в области верхних моляров.
- Поддесневой — налет, находящийся в пародонтальном кармане, между зубом и десной. Его нельзя увидеть невооруженным глазом.
- Каменный мост — микробы охватывают эмаль нескольких зубов подряд, что является наиболее запущенным случаем.
Чистка зубного камня зависит от способа его прикрепления к поверхности:
- Включение в процесс пелликулы из органики на «цементе» (специфическая ткань, покрывающая корневую часть зуба).
- Включение в процесс пелликулы из органики на эмали.
- Синтез на неровных абразивных поверхностях, например, на ранних стадиях кариеса или в местах сколов, а также при образовании пищевого налета.
- Прикрепление в впадинах и выступах между зубами на эмали или корне зуба.
Последствия зубного налета
Стоматологи знают, как удалить зубной камень, чтобы сохранить здоровье улыбки.
Какие осложнения могут возникнуть?
- Воспаление десен и гингивит — зубной камень, особенно поддесневой, негативно влияет на ткани, вызывая их размягчение и покраснение. Это приводит к увеличению кармана между десной и зубом, что способствует размножению бактерий.
- Пародонтит — заболевание, при котором затрагивается костная ткань, что может привести к её разрушению и, в конечном итоге, к полной потере зубов.
Поэтому важно своевременно обращать внимание на образование зубного камня и обращаться в стоматологическую клинику для его удаления.
Удаление зубного камня
Избежать будущих заболеваний можно несколькими способами.
Ультразвук
Удаление зубного камня ультразвуком — это распространенный и безопасный метод, используемый в стоматологиях.
Принцип действия основан на быстрой вибрации наконечника аппарата — скалера. При контакте с зубом он создает резонанс, который разрушает твердый налет.
Дополнительно насадка обрабатывает зубную поверхность раствором хлоргексидина или водой, что позволяет отполировать зубы и предотвратить образование нового налета.
Преимущество метода — минимальное воздействие на эмаль зубов.
Air Flow
Метод основан на разрушении налета с помощью тонкой струи, состоящей из воды, воздуха и неабразивных частиц, подаваемой под высоким давлением. При необходимости добавляются антисептические вещества.
Лазер
Метод применяется редко из-за высокой стоимости оборудования. Принцип действия аналогичен ультразвуковому: направленный луч разрушает камень, а воздух или вода вымывают его из зубных промежутков.
Механическая чистка
Иногда применяют механический, то есть ручной метод чистки с использованием:
- ручных скалеров — металлические инструменты с прямыми и изогнутыми насадками;
- эскаваторов — инструменты с лопаточными насадками;
- долот — названных так из-за внешнего сходства с большими инструментами;
- кюрет — тонкие металлические крючки;
- рашпилей — ребристые насадки для соскабливания.
Этот метод чистки может быть неприятным и болезненным, но он наиболее эффективен, особенно при сложных отложениях. Однако неаккуратные действия врача могут повредить эмаль зуба, поэтому важно выбирать стоматологическую клинику с опытными специалистами.
Какой способ выбрать
Процедура чистки обычно включает несколько этапов, которые зависят от количества и качества налета. Стандартный набор действий включает:
- Ультразвук;
- Air-flow;
- Полирование щеткой;
- Реминерализующая терапия.
В конце врач отполирует поверхность зуба и покроет ее фтором для продления эффекта.
Метод удаления зубного камня зависит от диагностики. Важно, чтобы стоматолог использовал микроскоп для выявления ранних стадий налета.
Даже при соблюдении правильного питания и гигиены полости рта рекомендуется проходить профилактический осмотр с профессиональной чисткой каждые полгода. Это поможет избежать проблем с деснами и своевременно выявить кариес и другие нарушения.








