Если у кошки отмирают светочувствительные рецепторы, развивается атрофия сетчатки. Это заболевание может проявляться в нескольких формах и чаще всего затрагивает молодых животных. Оно сопровождается прогрессирующей потерей зрения и помутнением хрусталика. При первых признаках ухудшения зрения необходимо обратиться к ветеринару для диагностики и назначения лечения.
По статистике, атрофия сетчатки у кошек приводит к отмиранию 96% рецепторов.
Причины возникновения патологии
Прогрессирующая атрофия сетчатки характеризуется постепенным отмиранием палочек и колбочек — клеток внутренней оболочки глазного яблока, отвечающих за восприятие света и ночное зрение. У кошек заболевание чаще всего встречается у котят и молодых животных из-за генной мутации, особенно среди породистых кошек. Заболеванию может предшествовать отслоение сетчатки, вызванное травмами, сгущением крови или сахарным диабетом.
При отмирании палочек накапливается кислород, который разрушает колбочки. Возможные причины и формы атрофии сетчатки представлены в таблице:
| Форма | Особенности |
|---|---|
| Аутосомно-доминантная | Дисплазия палочек и колбочек |
| Связана с мутацией гена, отвечающего за развитие фоторецепторов | |
| Проявляется у котят пород сомали и абиссинская | |
| Полная слепота наступает к 1 году | |
| Аутосомно-рецессивная | Постепенная утрата функции клеток фоторецепторов |
| Полная утрата зрения к 3 годам | |
| Возникает из-за мутации гена, кодирующего белок, отвечающий за функцию палочек | |
| Встречается у пород манчкин, оцикет, сингапурская, бенгальская, персидская | |
| Приобретенная | Длительное применение антибиотиков или превышение дозы |
| Недостаток таурина, приводящий к дистрофии сетчатки и слепоте |
Что такое ПАС?
Фоторецепторы сетчатки развиваются примерно к восьмой неделе после рождения. При прогрессирующей атрофии сетчатки (ПАС) у котят рецепторы формируются, но с возрастом у кошек они атрофируются. Прогрессирующая дегенерация колбочек (ПДК) — наиболее распространённая форма ПАС у кошек. Она начинается с ночной слепоты и приводит к полной слепоте к 3-5 годам. Позднее клиническое проявление ПДК опасно для разведения, так как может быть выявлено уже после рождения котят.
Симптомы: как проявляется патология?
При атрофии сетчатки глаза у кошки спуск по лестнице становится проблемой. У животного отсутствует болевой синдром, поэтому владелец может долго не замечать болезни. Кошки обладают хорошей памятью и используют её при снижении зрения, а также ориентируются с помощью вибрисс. Однако в незнакомой обстановке они могут чувствовать себя беспомощными. Ветеринары рекомендуют обращать внимание на следующие признаки атрофии сетчатки:
- нежелание спускаться по лестнице;
- наталкивание на преграды, особенно если они новые;
- отсутствие передвижения в темноте;
- расширение зрачков;
- отражение световых лучей от задней части глаза;
- помутнение хрусталика.
Список литературы
- Crispin, Sheila M. Notes on Veterinary Ophthalmology. Blackwell Publishing, Ames, 2005. 371 p.
- Gelatt, K. N. Veterinary Ophthalmology, 5th ed. Wiley-Blackwell, Ames, 2013. 2170 p.
- Maggs, D. J., Miller, P. E., Ofri, R. Slatter’s Fundamentals of Veterinary Ophthalmology, 5th ed. Elsevier, St. Louis, 2013. 506 p.
- Petersen-Jones, S., Crispin, S. (eds). BSAVA Manual of Small Animal Ophthalmology, 2nd ed. BSAVA, Gloucester, 2002. 316 p.
- Ekesten, B., Komaromy, A. M., Ofri, R., Petersen-Jones, S. M., Narfstrom, K. «Guidelines for Clinical Electroretinography in the Dog: 2012 Update.» Doc Ophthalmol (2013) 127: 79–87.
- Grozdanic, S. D., Kecova, H., Lazic, T. «Rapid Diagnosis of Retina and Optic Nerve Abnormalities in Canine Patients with and without Cataracts Using Chromatic Pupil Light Reflex Testing.» Veterinary Ophthalmology 2012: 1–12.
- Grozdanic, S. D., Matic, M., Sakaguchi, D. S., et al. «Evaluation of Retinal Status Using Chromatic Pupil Light Reflex Activity in Healthy and Diseased Canine Eyes.» Investigative Ophthalmology & Visual Science 2007; 48: 5178–5183.
Диагностические мероприятия
Атрофию сетчатки у кошек может определить ветеринар-офтальмолог. При подозрении на патологию, особенно у пород в зоне риска, проводятся генетические тесты. Также выполняются следующие диагностические процедуры:
- офтальмоскопия;
- электроретинография;
- компьютерная или магнитно-резонансная томография при подозрении на полную слепоту и для установления причины;
- УЗИ сердца, органов брюшной полости и грудной клетки, если заболевание связано с недостатком таурина;
- рентгенография.
Блефарит
Блефарит — это воспаление век.
Причины. Травмы век, бактериальные или грибковые инфекции, аллергия, диабет (как сахарный, так и несахарный), заболевания печени.
Клинические признаки. Ветеринар при осмотре отмечает покраснение и отечность век, светобоязнь, обильное слезотечение, зуд и жжение в области воспаления, а также выпадение шерсти и ресниц вокруг век.
Лечение блефарита должно быть направлено на устранение его причины. Рекомендуется промывание глаза отваром календулы или ромашки, раствором борной кислоты, марганцовки или фурациллина. В конъюнктивальный мешок закапывают глазные капли. При наличии инфекции назначают антибиотики.
Как проводится лечение?
Ветеринары отмечают, что при прогрессирующей атрофии сетчатки нельзя использовать препараты, содержащие фторхинолоны, для лечения сопутствующих заболеваний.
Как предотвратить ПАС?
ПАС имеет генетическую природу. Котята от родителей, не страдающих этой болезнью, менее подвержены ей. Животные с ПАС не должны использоваться для разведения и должны быть стерилизованы или кастрированы. Помёт и родители кошек с ПАС также не подходят для разведения. Если у вашей кошки развивается это заболевание, постарайтесь уведомить заводчика.
В последние годы ДНК используется для выявления генов, ответственных за ПАС у собак. Аналогичные исследования для кошек пока не проводятся.
Ирит (иридоциклит)
Ирит (иридоциклит) — это воспаление радужки и реснитчатого тела.
Причины: Травмы, воспаление, переходящее с роговицы, осложнения после операций на глазах, инфекционные заболевания.
Клиника: Ветеринарный врач при осмотре кошки отмечает сужение зрачка, потускнение радужной оболочки, светобоязнь, болезненность и мутную жидкость в передней камере. При присоединении конъюнктивита наблюдаются серозно-гнойные выделения.
Лечение: Для восстановления сокращения зрачка назначают 1% раствор атропина, новокаиновую блокаду и антибиотики. Хороший эффект дают глазные капли и мази с противовоспалительным и противомикробным действием.
Выворот век
Причина. Выворот век возникает из-за глазных заболеваний, переходящих в хроническую форму. Он характерен для некоторых пород кошек, но встречается в клинической практике редко.
Клинические признаки. При осмотре ветеринар отмечает блефароспазм (спастическое закрытие глаза), конъюнктивит, слезотечение и участок слизистой оболочки на месте выворота.
Лечение. Необходимо хирургическое вмешательство.
Виды заболевания
По распространенности:
- Локальная — минимальная площадь поражения сетчатой оболочки.
- Распространенная — затрагивает половину площади.
- Субтотальная — охватывает почти всю оболочку.
- Тотальная — отслоена вся сетчатка.
По форме:
- Плоская
- Высокая
- Пузыревидная
По времени:
- Свежая (до 14 дней)
- Несвежая
По типу:
- Ретиногенная (rhegma — разрыв)
- Травматическая
- Экссудативная
- Тракционная
Сбор анамнеза
Вид животного, пол, возраст и порода помогают выявить характерные патологии. Например, у пожилых кошек потеря зрения часто связана с отслойкой сетчатки. У породистых собак, таких как пудели и лабрадоры, распространены наследственная катаракта и атрофия сетчатки, а у брахиоцефальных пород — пигментный кератит.
Офтальмологический анамнез включает сбор данных о причине визита. Владельцы кошек часто жалуются не на потерю ориентации, а на изменения внешнего вида глаза или расширение зрачков, поскольку кошки хорошо адаптируются к знакомой обстановке.
Слепоту можно заподозрить по анамнезу: если животное стало осторожным, пугливым, агрессивным, больше спит, задевает предметы и не запрыгивает на возвышенности. Важно также учитывать скорость развития слепоты. Внезапная потеря зрения может указывать на неврологические нарушения или патологии сетчатки, тогда как постепенное ухудшение связано с нарушением прозрачности сред (катаракта, пигментный кератит) или прогрессирующей атрофией сетчатки.
Анамнез должен включать дополнительные проблемы: светобоязнь, выделения из глаз, изменения внешнего вида. Эти данные помогут в постановке диагноза.
Системный анамнез включает информацию о самочувствии пациента (аппетит, жажда, мочеиспускание, дефекация, аллергические реакции) и сопутствующих заболеваниях. Слепота может быть симптомом серьезного системного заболевания, например, катаракты при сахарном диабете.
После сбора анамнеза проводят осмотр “hands-off”, что позволяет заметить некоторые патологии. Обращают внимание на передвижение животного, его позу, симметрию морды и положение глаз. Этот осмотр дает первичные данные об офтальмологической патологии и информацию о системном состоянии.
Затем переходят к “hands-on” части, включая тесты на зрение: реакция на угрожающий жест, ватный шарик или лазерную указку, тест с постановкой конечностей и лабиринт. Необходимо также провести пальпебральный и роговичный рефлексы, тест Ширмера и осмотр морды и тела пациента.
Для исключения глаукомы проводят тонометрию. При высоком внутриглазном давлении и наличии других признаков (мидриаз, гиперемия, отек роговицы) ставят диагноз глаукома. В случае острого приступа необходимо быстро снизить давление, чтобы восстановить зрение, и провести диагностику причин глаукомы.
При нормальном ВГД (10-20 мм. рт. ст.) и отсутствии хронической глаукомы, а также отрицательных результатах тестов на зрение, следует провести осмотр с качественным освещением и увеличением для определения локализации патологии.
Слепота может быть связана с:
- Нарушением прозрачности сред.
- Нарушением функции сетчатки.
- Проблемами в зрительном нерве и центральной нервной системе.
Нарушение прозрачности сред.
Слепота возникает при значительном двустороннем поражении глазных сред. Причины могут включать:
- Непрозрачность роговицы: тотальный пигментный кератит, состояние после пластики роговицы, отек роговицы, фиброз, пролиферативные поражения.
- Непрозрачность жидкости передней камеры: наличие крови, фибрина, гноя, новообразований.
- Непрозрачность хрусталика: катаракта.
- Непрозрачность стекловидного тела: наличие фибрина, крови, гноя, новообразований.
Если установлено, что глазные среды непрозрачны, необходимо подтвердить, что это причина потери зрения. Для оценки функции внутренних структур глазного яблока используют dazzle («дазл») рефлекс. У животных с непрозрачной роговицей или хрусталиком, но с функциональной сетчаткой, рефлекс будет положительным. Для визуализации внутренних структур применяют УЗИ.
УЗИ глазного яблока позволяет диагностировать состояние внутриглазных структур при недостаточной прозрачности сред. На УЗИ можно выявить положение хрусталика, катаракту, наличие крови и гноя, отслойку сетчатки.
При хорошей прозрачности роговицы и жидкости передней камеры (например, при катаракте) оценивают зрачковый рефлекс на белый свет и хроматические реакции.
Зрачковый рефлекс — изменение диаметра зрачка в зависимости от света. При ярком свете зрачок сужается, при слабом — расширяется. Оценивают прямую и содружественную реакции.
Билатеральный мидриаз и отсутствие зрачковых рефлексов у слепого пациента могут указывать на поражение сетчатки, зрительных нервов или хиазмы.
Для более точного определения места нарушения проводят оценку зрачковых реакций на свет определенной длины волны с помощью прибора Iris-Vet. Нарушение сужения зрачка на красный свет указывает на патологию фоторецепторов, а на синий — на проблемы с передачей импульса по зрительному нерву.
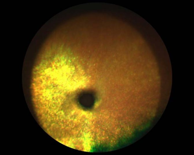
Офтальмоскопия — осмотр глазного дна, необходим всем пациентам с подозрением на потерю зрения, возможен при прозрачности сред. Причины слепоты, выявляемые на офтальмоскопии, включают отслойку сетчатки, кровоизлияние, хориоретинит, атрофию сетчатки и опухоли.
Если при офтальмоскопии аномалии не обнаружены, проводят электроретинографию и/или магнитно-резонансную томографию.
ЭРГ (электроретинография) — метод исследования функции клеток сетчатки. Он позволяет зарегистрировать электрическую активность клеток в ответ на световую стимуляцию. Показания к ЭРГ включают катаракту, слепоту при нормальной офтальмоскопической картине и подозрение на прогрессирующую атрофию сетчатки.
Техника проведения ЭРГ включает использование мидриатика, седатацию пациента и размещение электродов. Исследование проводится в темноте с использованием света для стимуляции палочек и колбочек.
МРТ (магнитно-резонансная томография) — дополнительный метод диагностики при подозрении на центральную природу потери зрения. Показаниями для МРТ могут быть мидриаз с ареактивным зрачком и неврологические симптомы.
Дополнительные исследования могут включать измерение артериального давления, генетические тесты и анализы крови для исключения сахарного диабета.
Важно помнить: слепой пациент нуждается в диагнозе, так как быстрое определение причины слепоты и своевременное лечение могут вернуть зрение и предотвратить угрозу жизни.


